- ТОП 20
- Компанії Дніпра
- Здоров'я у Дніпрі
- Стоматології у Дніпрі
- Стоматологічний кабінет Сови Наталії
Переглянути всі 5
(097) 985 XX XX
-
placeДніпро, Академіка Образцова, 1 / 3
Адреси
Терапевтична стоматологія:
Естетична стоматологія:
Виконуються лікування зубів, протезування, естетичні процедури та дитяча стоматологія. Пропонуються професійна гігієна порожнини рота та комфортні умови.
Виконуються лікування зубів, протезування, естетичні процедури та дитяча стоматологія. Пропонуються професійна гігієна порожнини рота та комфортні умови.
Це ваша компанія?
Оновіть інформацію про компанію, відповідайте на відгуки та інше
Це ваша компанія?
Відмінно
98 %
Добре
2 %
Непогано
0 %
Погано
0 %
Жахливо
0 %
Сергій
08 квітня 2026
5.0
Обслуговування
5.0
Ціна
5.0
Якість
5.0
Загальна оцінка
5.0
🦷 1. Чим імплантація краща за знімний протез.
Імплантація — це коли в кістку ставлять “штучний корінь”, а зверху — "зуб" (коронка).
Знімний протез — це конструкція, яку треба знімати.
✔️ Основні плюси імпланта:
1. Як свої зуби.
Не рухається, не... Показати повністю 🦷 1. Чим імплантація краща за знімний протез.
Імплантація — це коли в кістку ставлять “штучний корінь”, а зверху — "зуб" (коронка).
Знімний протез — це конструкція, яку треба знімати.
✔️ Основні плюси імпланта:
1. Як свої зуби.
Не рухається, не випадає, не натирає.
Їси, говориш — і не думаєш про нього.
2. Не треба знімати
Немає цього:
- зняв на ніч;
- поклав у стакан;
- переживаєш, що хтось побачить.
3. Кістка не “тане”.
Коли немає зуба — кістка поступово зменшується.
Імплант дає навантаження → кістка зберігається.
4. Краще виглядає.
Обличчя не “просідає”, як це буває з протезами.
5. Довговічність.
Імплант може служити 10–20 років і більше.
Протези часто треба міняти або підганяти.
❗ Мінуси знімного протезу:
- може випадати або зміщуватись;
- натирає ясна;
- гірше жувати (інколи в 2–3 рази);
- треба постійно знімати і чистити;
- психологічний дискомфорт.
⏳ 5. Це довгострокове рішення.
Імплант:
ставиш один раз → користуєшся роками
Протез:
дешевший зараз, але потім постійні витрати, заміни, дискомфорт.
📌 Простий висновок.
👉 Імплант — це про комфорт, впевненість і довгостроковість.
👉 Протез — це дешевше “на зараз”, але з мінусами.
👉 Дешева імплантація - ризик.
👉 Якісна імплантація - інвестиція в себе.
Запис на консультацію, тел.: 097-985-1075, 063-645-8910.
Імплантація — це коли в кістку ставлять “штучний корінь”, а зверху — "зуб" (коронка).
Знімний протез — це конструкція, яку треба знімати.
✔️ Основні плюси імпланта:
1. Як свої зуби.
Не рухається, не... Показати повністю 🦷 1. Чим імплантація краща за знімний протез.
Імплантація — це коли в кістку ставлять “штучний корінь”, а зверху — "зуб" (коронка).
Знімний протез — це конструкція, яку треба знімати.
✔️ Основні плюси імпланта:
1. Як свої зуби.
Не рухається, не випадає, не натирає.
Їси, говориш — і не думаєш про нього.
2. Не треба знімати
Немає цього:
- зняв на ніч;
- поклав у стакан;
- переживаєш, що хтось побачить.
3. Кістка не “тане”.
Коли немає зуба — кістка поступово зменшується.
Імплант дає навантаження → кістка зберігається.
4. Краще виглядає.
Обличчя не “просідає”, як це буває з протезами.
5. Довговічність.
Імплант може служити 10–20 років і більше.
Протези часто треба міняти або підганяти.
❗ Мінуси знімного протезу:
- може випадати або зміщуватись;
- натирає ясна;
- гірше жувати (інколи в 2–3 рази);
- треба постійно знімати і чистити;
- психологічний дискомфорт.
⏳ 5. Це довгострокове рішення.
Імплант:
ставиш один раз → користуєшся роками
Протез:
дешевший зараз, але потім постійні витрати, заміни, дискомфорт.
📌 Простий висновок.
👉 Імплант — це про комфорт, впевненість і довгостроковість.
👉 Протез — це дешевше “на зараз”, але з мінусами.
👉 Дешева імплантація - ризик.
👉 Якісна імплантація - інвестиція в себе.
Запис на консультацію, тел.: 097-985-1075, 063-645-8910.
5.0
Обслуговування
5.0
Ціна
5.0
Якість
5.0
Загальна оцінка
5.0
Академіка Образцова, 1 / 3
08 квітня 2026
🦷 1. Чим імплантація краща за знімний протез.
Імплантація — це коли в кістку ставлять “штучний корінь”, а зверху — "зуб" (коронка).
Знімний протез — це конструкція, яку треба знімати.
✔️ Основні плюси імпланта:
1. Як свої зуби.
Не рухається, не... Показати повністю 🦷 1. Чим імплантація краща за знімний протез.
Імплантація — це коли в кістку ставлять “штучний корінь”, а зверху — "зуб" (коронка).
Знімний протез — це конструкція, яку треба знімати.
✔️ Основні плюси імпланта:
1. Як свої зуби.
Не рухається, не випадає, не натирає.
Їси, говориш — і не думаєш про нього.
2. Не треба знімати
Немає цього:
- зняв на ніч;
- поклав у стакан;
- переживаєш, що хтось побачить.
3. Кістка не “тане”.
Коли немає зуба — кістка поступово зменшується.
Імплант дає навантаження → кістка зберігається.
4. Краще виглядає.
Обличчя не “просідає”, як це буває з протезами.
5. Довговічність.
Імплант може служити 10–20 років і більше.
Протези часто треба міняти або підганяти.
❗ Мінуси знімного протезу:
- може випадати або зміщуватись;
- натирає ясна;
- гірше жувати (інколи в 2–3 рази);
- треба постійно знімати і чистити;
- психологічний дискомфорт.
⏳ 5. Це довгострокове рішення.
Імплант:
ставиш один раз → користуєшся роками
Протез:
дешевший зараз, але потім постійні витрати, заміни, дискомфорт.
📌 Простий висновок.
👉 Імплант — це про комфорт, впевненість і довгостроковість.
👉 Протез — це дешевше “на зараз”, але з мінусами.
👉 Дешева імплантація - ризик.
👉 Якісна імплантація - інвестиція в себе.
Запис на консультацію, тел.: 097-985-1075, 063-645-8910.
Імплантація — це коли в кістку ставлять “штучний корінь”, а зверху — "зуб" (коронка).
Знімний протез — це конструкція, яку треба знімати.
✔️ Основні плюси імпланта:
1. Як свої зуби.
Не рухається, не... Показати повністю 🦷 1. Чим імплантація краща за знімний протез.
Імплантація — це коли в кістку ставлять “штучний корінь”, а зверху — "зуб" (коронка).
Знімний протез — це конструкція, яку треба знімати.
✔️ Основні плюси імпланта:
1. Як свої зуби.
Не рухається, не випадає, не натирає.
Їси, говориш — і не думаєш про нього.
2. Не треба знімати
Немає цього:
- зняв на ніч;
- поклав у стакан;
- переживаєш, що хтось побачить.
3. Кістка не “тане”.
Коли немає зуба — кістка поступово зменшується.
Імплант дає навантаження → кістка зберігається.
4. Краще виглядає.
Обличчя не “просідає”, як це буває з протезами.
5. Довговічність.
Імплант може служити 10–20 років і більше.
Протези часто треба міняти або підганяти.
❗ Мінуси знімного протезу:
- може випадати або зміщуватись;
- натирає ясна;
- гірше жувати (інколи в 2–3 рази);
- треба постійно знімати і чистити;
- психологічний дискомфорт.
⏳ 5. Це довгострокове рішення.
Імплант:
ставиш один раз → користуєшся роками
Протез:
дешевший зараз, але потім постійні витрати, заміни, дискомфорт.
📌 Простий висновок.
👉 Імплант — це про комфорт, впевненість і довгостроковість.
👉 Протез — це дешевше “на зараз”, але з мінусами.
👉 Дешева імплантація - ризик.
👉 Якісна імплантація - інвестиція в себе.
Запис на консультацію, тел.: 097-985-1075, 063-645-8910.
Сергій
08 квітня 2026
5.0
Обслуговування
5.0
Ціна
5.0
Якість
5.0
Загальна оцінка
5.0
Чому імплантація не може бути дешевою і чому це добре для вас.
Багато хто шукає: “Де дешевше поставити імплант?”.
Але тут важливо зрозуміти одну річ:
👉 імплантація — це не товар, а результат на роки.
🦷 Це не просто “поставити зуб”.
Імплантація —... Показати повністю Чому імплантація не може бути дешевою і чому це добре для вас.
Багато хто шукає: “Де дешевше поставити імплант?”.
Але тут важливо зрозуміти одну річ:
👉 імплантація — це не товар, а результат на роки.
🦷 Це не просто “поставити зуб”.
Імплантація — це процедура, де:
- працюють з кісткою;
- враховують навантаження при жуванні;
- прораховують результат на роки вперед.
Тобто це не косметика — це точна медицина.
Якість матеріалів = ваш спокій.
Хороший імплант:
- зроблений з медичного титану;
- приживається і не відторгається.
Дешеві варіанти:
- можуть не прижитися
- можуть викликати ускладнення.
👉 Економія тут часто обертається переробкою.
Ви платите за досвід лікаря.
Імплантолог — це спеціаліст, який:
- роками вчиться;
- робить сотні операцій;
- несе відповідальність за результат.
👉 Головне — не сам імплант, а як його встановили.
Безпека — це не місце для економії.
У вартість входить:
- 3D-діагностика;
- стерильність;
- сучасне обладнання.
Це гарантія того, що: все пройде безпечно і прогнозовано
Один раз — і надовго.
Імплантація:
- служить 10–20 років і більше;
- не потребує постійних замін.
На відміну від дешевших рішень, які:
- доводиться переробляти;
- постійно підганяти.
📌 Головна думка
👉 Дешева імплантація — це завжди ризик.
👉 Якісна імплантація — це спокій на роки.
Якщо сказати прямо:
коли мова йде про зуби —
економія сьогодні може коштувати значно дорожче завтра.
✔️ Що робити далі?
Найправильніше рішення —
записатись, тел. 097-985-1075, 063-645-8910, прийти на консультацію і отримати чіткий план:
що саме потрібно у вашому випадку, яка реальна вартість, які є варіанти,
👉 без “сюрпризів” і зайвих витрат.
Багато хто шукає: “Де дешевше поставити імплант?”.
Але тут важливо зрозуміти одну річ:
👉 імплантація — це не товар, а результат на роки.
🦷 Це не просто “поставити зуб”.
Імплантація —... Показати повністю Чому імплантація не може бути дешевою і чому це добре для вас.
Багато хто шукає: “Де дешевше поставити імплант?”.
Але тут важливо зрозуміти одну річ:
👉 імплантація — це не товар, а результат на роки.
🦷 Це не просто “поставити зуб”.
Імплантація — це процедура, де:
- працюють з кісткою;
- враховують навантаження при жуванні;
- прораховують результат на роки вперед.
Тобто це не косметика — це точна медицина.
Якість матеріалів = ваш спокій.
Хороший імплант:
- зроблений з медичного титану;
- приживається і не відторгається.
Дешеві варіанти:
- можуть не прижитися
- можуть викликати ускладнення.
👉 Економія тут часто обертається переробкою.
Ви платите за досвід лікаря.
Імплантолог — це спеціаліст, який:
- роками вчиться;
- робить сотні операцій;
- несе відповідальність за результат.
👉 Головне — не сам імплант, а як його встановили.
Безпека — це не місце для економії.
У вартість входить:
- 3D-діагностика;
- стерильність;
- сучасне обладнання.
Це гарантія того, що: все пройде безпечно і прогнозовано
Один раз — і надовго.
Імплантація:
- служить 10–20 років і більше;
- не потребує постійних замін.
На відміну від дешевших рішень, які:
- доводиться переробляти;
- постійно підганяти.
📌 Головна думка
👉 Дешева імплантація — це завжди ризик.
👉 Якісна імплантація — це спокій на роки.
Якщо сказати прямо:
коли мова йде про зуби —
економія сьогодні може коштувати значно дорожче завтра.
✔️ Що робити далі?
Найправильніше рішення —
записатись, тел. 097-985-1075, 063-645-8910, прийти на консультацію і отримати чіткий план:
що саме потрібно у вашому випадку, яка реальна вартість, які є варіанти,
👉 без “сюрпризів” і зайвих витрат.
5.0
Обслуговування
5.0
Ціна
5.0
Якість
5.0
Загальна оцінка
5.0
Академіка Образцова, 1 / 3
08 квітня 2026
Чому імплантація не може бути дешевою і чому це добре для вас.
Багато хто шукає: “Де дешевше поставити імплант?”.
Але тут важливо зрозуміти одну річ:
👉 імплантація — це не товар, а результат на роки.
🦷 Це не просто “поставити зуб”.
Імплантація —... Показати повністю Чому імплантація не може бути дешевою і чому це добре для вас.
Багато хто шукає: “Де дешевше поставити імплант?”.
Але тут важливо зрозуміти одну річ:
👉 імплантація — це не товар, а результат на роки.
🦷 Це не просто “поставити зуб”.
Імплантація — це процедура, де:
- працюють з кісткою;
- враховують навантаження при жуванні;
- прораховують результат на роки вперед.
Тобто це не косметика — це точна медицина.
Якість матеріалів = ваш спокій.
Хороший імплант:
- зроблений з медичного титану;
- приживається і не відторгається.
Дешеві варіанти:
- можуть не прижитися
- можуть викликати ускладнення.
👉 Економія тут часто обертається переробкою.
Ви платите за досвід лікаря.
Імплантолог — це спеціаліст, який:
- роками вчиться;
- робить сотні операцій;
- несе відповідальність за результат.
👉 Головне — не сам імплант, а як його встановили.
Безпека — це не місце для економії.
У вартість входить:
- 3D-діагностика;
- стерильність;
- сучасне обладнання.
Це гарантія того, що: все пройде безпечно і прогнозовано
Один раз — і надовго.
Імплантація:
- служить 10–20 років і більше;
- не потребує постійних замін.
На відміну від дешевших рішень, які:
- доводиться переробляти;
- постійно підганяти.
📌 Головна думка
👉 Дешева імплантація — це завжди ризик.
👉 Якісна імплантація — це спокій на роки.
Якщо сказати прямо:
коли мова йде про зуби —
економія сьогодні може коштувати значно дорожче завтра.
✔️ Що робити далі?
Найправильніше рішення —
записатись, тел. 097-985-1075, 063-645-8910, прийти на консультацію і отримати чіткий план:
що саме потрібно у вашому випадку, яка реальна вартість, які є варіанти,
👉 без “сюрпризів” і зайвих витрат.
Багато хто шукає: “Де дешевше поставити імплант?”.
Але тут важливо зрозуміти одну річ:
👉 імплантація — це не товар, а результат на роки.
🦷 Це не просто “поставити зуб”.
Імплантація —... Показати повністю Чому імплантація не може бути дешевою і чому це добре для вас.
Багато хто шукає: “Де дешевше поставити імплант?”.
Але тут важливо зрозуміти одну річ:
👉 імплантація — це не товар, а результат на роки.
🦷 Це не просто “поставити зуб”.
Імплантація — це процедура, де:
- працюють з кісткою;
- враховують навантаження при жуванні;
- прораховують результат на роки вперед.
Тобто це не косметика — це точна медицина.
Якість матеріалів = ваш спокій.
Хороший імплант:
- зроблений з медичного титану;
- приживається і не відторгається.
Дешеві варіанти:
- можуть не прижитися
- можуть викликати ускладнення.
👉 Економія тут часто обертається переробкою.
Ви платите за досвід лікаря.
Імплантолог — це спеціаліст, який:
- роками вчиться;
- робить сотні операцій;
- несе відповідальність за результат.
👉 Головне — не сам імплант, а як його встановили.
Безпека — це не місце для економії.
У вартість входить:
- 3D-діагностика;
- стерильність;
- сучасне обладнання.
Це гарантія того, що: все пройде безпечно і прогнозовано
Один раз — і надовго.
Імплантація:
- служить 10–20 років і більше;
- не потребує постійних замін.
На відміну від дешевших рішень, які:
- доводиться переробляти;
- постійно підганяти.
📌 Головна думка
👉 Дешева імплантація — це завжди ризик.
👉 Якісна імплантація — це спокій на роки.
Якщо сказати прямо:
коли мова йде про зуби —
економія сьогодні може коштувати значно дорожче завтра.
✔️ Що робити далі?
Найправильніше рішення —
записатись, тел. 097-985-1075, 063-645-8910, прийти на консультацію і отримати чіткий план:
що саме потрібно у вашому випадку, яка реальна вартість, які є варіанти,
👉 без “сюрпризів” і зайвих витрат.
Пан Сова
17 жовтня 2025
5.0
Обслуговування
5.0
Ціна
5.0
Якість
5.0
Загальна оцінка
5.0
🦷 Хочеш здорову усмішку?
Почни з простого — гігієни порожнини рота!
✨ Менше карієсу
💨 Свіже дихання
😁 Білосніжна усмішка
💪 Впевненість щодня
Професійна чистка — це не розкіш, а турбота про себе 💙
Запишись на гігієну вже сьогодні — і твоя усміш... Показати повністю 🦷 Хочеш здорову усмішку?
Почни з простого — гігієни порожнини рота!
✨ Менше карієсу
💨 Свіже дихання
😁 Білосніжна усмішка
💪 Впевненість щодня
Професійна чистка — це не розкіш, а турбота про себе 💙
Запишись на гігієну вже сьогодні — і твоя усмішка скаже «дякую»! 😍
Почни з простого — гігієни порожнини рота!
✨ Менше карієсу
💨 Свіже дихання
😁 Білосніжна усмішка
💪 Впевненість щодня
Професійна чистка — це не розкіш, а турбота про себе 💙
Запишись на гігієну вже сьогодні — і твоя усміш... Показати повністю 🦷 Хочеш здорову усмішку?
Почни з простого — гігієни порожнини рота!
✨ Менше карієсу
💨 Свіже дихання
😁 Білосніжна усмішка
💪 Впевненість щодня
Професійна чистка — це не розкіш, а турбота про себе 💙
Запишись на гігієну вже сьогодні — і твоя усмішка скаже «дякую»! 😍
5.0
Обслуговування
5.0
Ціна
5.0
Якість
5.0
Загальна оцінка
5.0
Академіка Образцова, 1 / 3
17 жовтня 2025
🦷 Хочеш здорову усмішку?
Почни з простого — гігієни порожнини рота!
✨ Менше карієсу
💨 Свіже дихання
😁 Білосніжна усмішка
💪 Впевненість щодня
Професійна чистка — це не розкіш, а турбота про себе 💙
Запишись на гігієну вже сьогодні — і твоя усміш... Показати повністю 🦷 Хочеш здорову усмішку?
Почни з простого — гігієни порожнини рота!
✨ Менше карієсу
💨 Свіже дихання
😁 Білосніжна усмішка
💪 Впевненість щодня
Професійна чистка — це не розкіш, а турбота про себе 💙
Запишись на гігієну вже сьогодні — і твоя усмішка скаже «дякую»! 😍
Почни з простого — гігієни порожнини рота!
✨ Менше карієсу
💨 Свіже дихання
😁 Білосніжна усмішка
💪 Впевненість щодня
Професійна чистка — це не розкіш, а турбота про себе 💙
Запишись на гігієну вже сьогодні — і твоя усміш... Показати повністю 🦷 Хочеш здорову усмішку?
Почни з простого — гігієни порожнини рота!
✨ Менше карієсу
💨 Свіже дихання
😁 Білосніжна усмішка
💪 Впевненість щодня
Професійна чистка — це не розкіш, а турбота про себе 💙
Запишись на гігієну вже сьогодні — і твоя усмішка скаже «дякую»! 😍
Пан Сова
30 вересня 2025
5.0
Обслуговування
5.0
Ціна
5.0
Якість
5.0
Загальна оцінка
5.0
• Імплант - як свій зуб. Ви жуєте та посміхаєтесь природно, ніхто не помітить різниці.
• Зберігає сусідні зуби. На відміну від мостів, імплант не потребує обточування здорових зубів.
• Служить десятиліттями. При правильному догляді імплант може про... Показати повністю • Імплант - як свій зуб. Ви жуєте та посміхаєтесь природно, ніхто не помітить різниці.
• Зберігає сусідні зуби. На відміну від мостів, імплант не потребує обточування здорових зубів.
• Служить десятиліттями. При правильному догляді імплант може прослужити 20+ років.
• Зупиняє втрату кістки. Після видалення зуба кістка "тане". Імплант зберігає її.
• Комфорт без протезів. Забудьте про знімні конструкції, які натирають і випадають.
• Відновлює жувальну функцію. Ви знову можете їсти тверді продукти без обмежень.
• Повертає впевненість. Імпланти відновлюють не тільки зуби, а й усмішку та самооцінку.
• Сучасна технологія = мінімальний біль. Установка проходить швидко й під якісним знеболенням.
• Інвестиція у здоров’я. Раз витратили — і десятиліттями забули про проблему.
• Чим раніше — тим краще. Чим довше чекаєте, тим більше атрофується кістка і тим складніше відновлення.
• Зберігає сусідні зуби. На відміну від мостів, імплант не потребує обточування здорових зубів.
• Служить десятиліттями. При правильному догляді імплант може про... Показати повністю • Імплант - як свій зуб. Ви жуєте та посміхаєтесь природно, ніхто не помітить різниці.
• Зберігає сусідні зуби. На відміну від мостів, імплант не потребує обточування здорових зубів.
• Служить десятиліттями. При правильному догляді імплант може прослужити 20+ років.
• Зупиняє втрату кістки. Після видалення зуба кістка "тане". Імплант зберігає її.
• Комфорт без протезів. Забудьте про знімні конструкції, які натирають і випадають.
• Відновлює жувальну функцію. Ви знову можете їсти тверді продукти без обмежень.
• Повертає впевненість. Імпланти відновлюють не тільки зуби, а й усмішку та самооцінку.
• Сучасна технологія = мінімальний біль. Установка проходить швидко й під якісним знеболенням.
• Інвестиція у здоров’я. Раз витратили — і десятиліттями забули про проблему.
• Чим раніше — тим краще. Чим довше чекаєте, тим більше атрофується кістка і тим складніше відновлення.
5.0
Обслуговування
5.0
Ціна
5.0
Якість
5.0
Загальна оцінка
5.0
Академіка Образцова, 1 / 3
30 вересня 2025
• Імплант - як свій зуб. Ви жуєте та посміхаєтесь природно, ніхто не помітить різниці.
• Зберігає сусідні зуби. На відміну від мостів, імплант не потребує обточування здорових зубів.
• Служить десятиліттями. При правильному догляді імплант може про... Показати повністю • Імплант - як свій зуб. Ви жуєте та посміхаєтесь природно, ніхто не помітить різниці.
• Зберігає сусідні зуби. На відміну від мостів, імплант не потребує обточування здорових зубів.
• Служить десятиліттями. При правильному догляді імплант може прослужити 20+ років.
• Зупиняє втрату кістки. Після видалення зуба кістка "тане". Імплант зберігає її.
• Комфорт без протезів. Забудьте про знімні конструкції, які натирають і випадають.
• Відновлює жувальну функцію. Ви знову можете їсти тверді продукти без обмежень.
• Повертає впевненість. Імпланти відновлюють не тільки зуби, а й усмішку та самооцінку.
• Сучасна технологія = мінімальний біль. Установка проходить швидко й під якісним знеболенням.
• Інвестиція у здоров’я. Раз витратили — і десятиліттями забули про проблему.
• Чим раніше — тим краще. Чим довше чекаєте, тим більше атрофується кістка і тим складніше відновлення.
• Зберігає сусідні зуби. На відміну від мостів, імплант не потребує обточування здорових зубів.
• Служить десятиліттями. При правильному догляді імплант може про... Показати повністю • Імплант - як свій зуб. Ви жуєте та посміхаєтесь природно, ніхто не помітить різниці.
• Зберігає сусідні зуби. На відміну від мостів, імплант не потребує обточування здорових зубів.
• Служить десятиліттями. При правильному догляді імплант може прослужити 20+ років.
• Зупиняє втрату кістки. Після видалення зуба кістка "тане". Імплант зберігає її.
• Комфорт без протезів. Забудьте про знімні конструкції, які натирають і випадають.
• Відновлює жувальну функцію. Ви знову можете їсти тверді продукти без обмежень.
• Повертає впевненість. Імпланти відновлюють не тільки зуби, а й усмішку та самооцінку.
• Сучасна технологія = мінімальний біль. Установка проходить швидко й під якісним знеболенням.
• Інвестиція у здоров’я. Раз витратили — і десятиліттями забули про проблему.
• Чим раніше — тим краще. Чим довше чекаєте, тим більше атрофується кістка і тим складніше відновлення.
Пан Сова
30 вересня 2025
5.0
Обслуговування
5.0
Ціна
5.0
Якість
5.0
Загальна оцінка
5.0
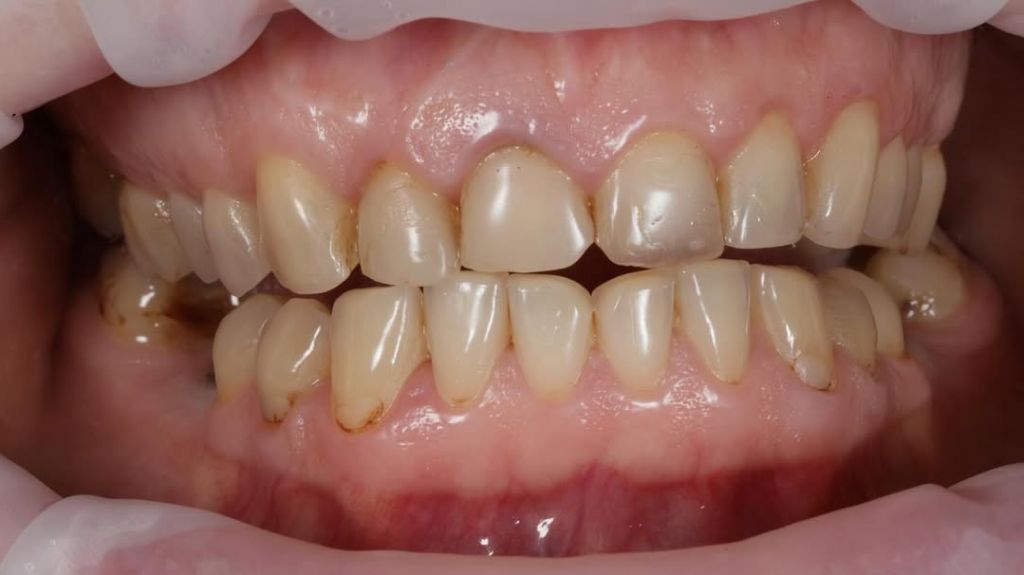
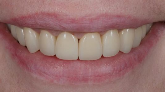
Пацієнт звернувся до лікаря-стоматолога із запитом на нові знімні протези. Скаржився, що старі вже не тримаються, випадають, заважають жувати й посміхатися.
Ми запропонували інше рішення — тотальну реабілітацію на чотирьох імплантах для верхньої та... Показати повністю Пацієнт звернувся до лікаря-стоматолога із запитом на нові знімні протези. Скаржився, що старі вже не тримаються, випадають, заважають жувати й посміхатися.
Ми запропонували інше рішення — тотальну реабілітацію на чотирьох імплантах для верхньої та нижньої щелепи.
▫️ Конструкції незнімні: фіксуються один раз і більше не потребують зняття.
▫️ Повна реабілітація тривала три місяці.
▫️ Відновлено жувальну функцію, естетику та впевненість у собі.
Результат — щира посмішка й нова якість життя. 😊
Записатись на консультацію і імплантацію зубів можна за тел. 097-985-10-45, 063-645-89-10.
Ми запропонували інше рішення — тотальну реабілітацію на чотирьох імплантах для верхньої та... Показати повністю Пацієнт звернувся до лікаря-стоматолога із запитом на нові знімні протези. Скаржився, що старі вже не тримаються, випадають, заважають жувати й посміхатися.
Ми запропонували інше рішення — тотальну реабілітацію на чотирьох імплантах для верхньої та нижньої щелепи.
▫️ Конструкції незнімні: фіксуються один раз і більше не потребують зняття.
▫️ Повна реабілітація тривала три місяці.
▫️ Відновлено жувальну функцію, естетику та впевненість у собі.
Результат — щира посмішка й нова якість життя. 😊
Записатись на консультацію і імплантацію зубів можна за тел. 097-985-10-45, 063-645-89-10.
5.0
Обслуговування
5.0
Ціна
5.0
Якість
5.0
Загальна оцінка
5.0
Академіка Образцова, 1 / 3
30 вересня 2025
Пацієнт звернувся до лікаря-стоматолога із запитом на нові знімні протези. Скаржився, що старі вже не тримаються, випадають, заважають жувати й посміхатися.
Ми запропонували інше рішення — тотальну реабілітацію на чотирьох імплантах для верхньої та... Показати повністю Пацієнт звернувся до лікаря-стоматолога із запитом на нові знімні протези. Скаржився, що старі вже не тримаються, випадають, заважають жувати й посміхатися.
Ми запропонували інше рішення — тотальну реабілітацію на чотирьох імплантах для верхньої та нижньої щелепи.
▫️ Конструкції незнімні: фіксуються один раз і більше не потребують зняття.
▫️ Повна реабілітація тривала три місяці.
▫️ Відновлено жувальну функцію, естетику та впевненість у собі.
Результат — щира посмішка й нова якість життя. 😊
Записатись на консультацію і імплантацію зубів можна за тел. 097-985-10-45, 063-645-89-10.
Ми запропонували інше рішення — тотальну реабілітацію на чотирьох імплантах для верхньої та... Показати повністю Пацієнт звернувся до лікаря-стоматолога із запитом на нові знімні протези. Скаржився, що старі вже не тримаються, випадають, заважають жувати й посміхатися.
Ми запропонували інше рішення — тотальну реабілітацію на чотирьох імплантах для верхньої та нижньої щелепи.
▫️ Конструкції незнімні: фіксуються один раз і більше не потребують зняття.
▫️ Повна реабілітація тривала три місяці.
▫️ Відновлено жувальну функцію, естетику та впевненість у собі.
Результат — щира посмішка й нова якість життя. 😊
Записатись на консультацію і імплантацію зубів можна за тел. 097-985-10-45, 063-645-89-10.
Пан Сова
30 вересня 2025
5.0
Обслуговування
5.0
Ціна
5.0
Якість
5.0
Загальна оцінка
5.0
• Не чекайте болю. Якщо з’явився дискомфорт у зубі — це сигнал для огляду.
• Профілактика дешевша. Лікування карієсу на ранній стадії коштує в 2–3 рази менше, ніж пізніше.
• Раз на пів року — обов’язково. Регулярний профогляд збереже вам і зуби, і... Показати повністю • Не чекайте болю. Якщо з’явився дискомфорт у зубі — це сигнал для огляду.
• Профілактика дешевша. Лікування карієсу на ранній стадії коштує в 2–3 рази менше, ніж пізніше.
• Раз на пів року — обов’язково. Регулярний профогляд збереже вам і зуби, і гроші.
• Профчистка = свіжий подих. Після професійної чистки зуби виглядають і відчуваються зовсім інакше.
• Не допомагає сода чи паста від болю. Це лише маскує проблему, яка з часом погіршується.
• Зубний камінь сам не зникає. Його можна прибрати тільки у стоматолога.
• Рентген — не страшно. Це швидко і допомагає виявити приховані проблеми.
• Пломба має термін служби. Якщо вашій більше 5 років — час перевірити її стан.
• Здорові зуби = впевнена посмішка. Не відкладайте, запишіться вже сьогодні за тел. 097-985-1075, 063-645-89-10.
• Профілактика дешевша. Лікування карієсу на ранній стадії коштує в 2–3 рази менше, ніж пізніше.
• Раз на пів року — обов’язково. Регулярний профогляд збереже вам і зуби, і... Показати повністю • Не чекайте болю. Якщо з’явився дискомфорт у зубі — це сигнал для огляду.
• Профілактика дешевша. Лікування карієсу на ранній стадії коштує в 2–3 рази менше, ніж пізніше.
• Раз на пів року — обов’язково. Регулярний профогляд збереже вам і зуби, і гроші.
• Профчистка = свіжий подих. Після професійної чистки зуби виглядають і відчуваються зовсім інакше.
• Не допомагає сода чи паста від болю. Це лише маскує проблему, яка з часом погіршується.
• Зубний камінь сам не зникає. Його можна прибрати тільки у стоматолога.
• Рентген — не страшно. Це швидко і допомагає виявити приховані проблеми.
• Пломба має термін служби. Якщо вашій більше 5 років — час перевірити її стан.
• Здорові зуби = впевнена посмішка. Не відкладайте, запишіться вже сьогодні за тел. 097-985-1075, 063-645-89-10.
5.0
Обслуговування
5.0
Ціна
5.0
Якість
5.0
Загальна оцінка
5.0
Академіка Образцова, 1 / 3
30 вересня 2025
• Не чекайте болю. Якщо з’явився дискомфорт у зубі — це сигнал для огляду.
• Профілактика дешевша. Лікування карієсу на ранній стадії коштує в 2–3 рази менше, ніж пізніше.
• Раз на пів року — обов’язково. Регулярний профогляд збереже вам і зуби, і... Показати повністю • Не чекайте болю. Якщо з’явився дискомфорт у зубі — це сигнал для огляду.
• Профілактика дешевша. Лікування карієсу на ранній стадії коштує в 2–3 рази менше, ніж пізніше.
• Раз на пів року — обов’язково. Регулярний профогляд збереже вам і зуби, і гроші.
• Профчистка = свіжий подих. Після професійної чистки зуби виглядають і відчуваються зовсім інакше.
• Не допомагає сода чи паста від болю. Це лише маскує проблему, яка з часом погіршується.
• Зубний камінь сам не зникає. Його можна прибрати тільки у стоматолога.
• Рентген — не страшно. Це швидко і допомагає виявити приховані проблеми.
• Пломба має термін служби. Якщо вашій більше 5 років — час перевірити її стан.
• Здорові зуби = впевнена посмішка. Не відкладайте, запишіться вже сьогодні за тел. 097-985-1075, 063-645-89-10.
• Профілактика дешевша. Лікування карієсу на ранній стадії коштує в 2–3 рази менше, ніж пізніше.
• Раз на пів року — обов’язково. Регулярний профогляд збереже вам і зуби, і... Показати повністю • Не чекайте болю. Якщо з’явився дискомфорт у зубі — це сигнал для огляду.
• Профілактика дешевша. Лікування карієсу на ранній стадії коштує в 2–3 рази менше, ніж пізніше.
• Раз на пів року — обов’язково. Регулярний профогляд збереже вам і зуби, і гроші.
• Профчистка = свіжий подих. Після професійної чистки зуби виглядають і відчуваються зовсім інакше.
• Не допомагає сода чи паста від болю. Це лише маскує проблему, яка з часом погіршується.
• Зубний камінь сам не зникає. Його можна прибрати тільки у стоматолога.
• Рентген — не страшно. Це швидко і допомагає виявити приховані проблеми.
• Пломба має термін служби. Якщо вашій більше 5 років — час перевірити її стан.
• Здорові зуби = впевнена посмішка. Не відкладайте, запишіться вже сьогодні за тел. 097-985-1075, 063-645-89-10.
Пан Сова
17 травня 2025
5.0
Обслуговування
5.0
Ціна
5.0
Якість
5.0
Загальна оцінка
5.0
Чому лікування карієсу не можна відкладати
Карієс — це не просто дірка в зубі, а хвороба, яка прогресує та може призвести до серйозних ускладнень: пульпіту, періодонтиту й навіть втрати зуба. На початкових етапах його легко вилікувати, іноді навіт... Показати повністю Чому лікування карієсу не можна відкладати
Карієс — це не просто дірка в зубі, а хвороба, яка прогресує та може призвести до серйозних ускладнень: пульпіту, періодонтиту й навіть втрати зуба. На початкових етапах його легко вилікувати, іноді навіть без свердління. Але зволікання призводить до болю, складнішого і дорожчого лікування.
Це інфекція, яка здатна впливати не лише на ротову порожнину, а й на загальний стан організму — зокрема, серцево-судинну систему. Крім того, карієс псує естетику усмішки та знижує впевненість у собі.
Профілактика та вчасне пломбування — простий спосіб зберегти здорові зуби та гарну усмішку. Запишіться на огляд за тел. 0979851075 вже сьогодні — не відкладайте турботу про себе.
Карієс — це не просто дірка в зубі, а хвороба, яка прогресує та може призвести до серйозних ускладнень: пульпіту, періодонтиту й навіть втрати зуба. На початкових етапах його легко вилікувати, іноді навіт... Показати повністю Чому лікування карієсу не можна відкладати
Карієс — це не просто дірка в зубі, а хвороба, яка прогресує та може призвести до серйозних ускладнень: пульпіту, періодонтиту й навіть втрати зуба. На початкових етапах його легко вилікувати, іноді навіть без свердління. Але зволікання призводить до болю, складнішого і дорожчого лікування.
Це інфекція, яка здатна впливати не лише на ротову порожнину, а й на загальний стан організму — зокрема, серцево-судинну систему. Крім того, карієс псує естетику усмішки та знижує впевненість у собі.
Профілактика та вчасне пломбування — простий спосіб зберегти здорові зуби та гарну усмішку. Запишіться на огляд за тел. 0979851075 вже сьогодні — не відкладайте турботу про себе.
5.0
Обслуговування
5.0
Ціна
5.0
Якість
5.0
Загальна оцінка
5.0
Академіка Образцова, 1 / 3
17 травня 2025
Чому лікування карієсу не можна відкладати
Карієс — це не просто дірка в зубі, а хвороба, яка прогресує та може призвести до серйозних ускладнень: пульпіту, періодонтиту й навіть втрати зуба. На початкових етапах його легко вилікувати, іноді навіт... Показати повністю Чому лікування карієсу не можна відкладати
Карієс — це не просто дірка в зубі, а хвороба, яка прогресує та може призвести до серйозних ускладнень: пульпіту, періодонтиту й навіть втрати зуба. На початкових етапах його легко вилікувати, іноді навіть без свердління. Але зволікання призводить до болю, складнішого і дорожчого лікування.
Це інфекція, яка здатна впливати не лише на ротову порожнину, а й на загальний стан організму — зокрема, серцево-судинну систему. Крім того, карієс псує естетику усмішки та знижує впевненість у собі.
Профілактика та вчасне пломбування — простий спосіб зберегти здорові зуби та гарну усмішку. Запишіться на огляд за тел. 0979851075 вже сьогодні — не відкладайте турботу про себе.
Карієс — це не просто дірка в зубі, а хвороба, яка прогресує та може призвести до серйозних ускладнень: пульпіту, періодонтиту й навіть втрати зуба. На початкових етапах його легко вилікувати, іноді навіт... Показати повністю Чому лікування карієсу не можна відкладати
Карієс — це не просто дірка в зубі, а хвороба, яка прогресує та може призвести до серйозних ускладнень: пульпіту, періодонтиту й навіть втрати зуба. На початкових етапах його легко вилікувати, іноді навіть без свердління. Але зволікання призводить до болю, складнішого і дорожчого лікування.
Це інфекція, яка здатна впливати не лише на ротову порожнину, а й на загальний стан організму — зокрема, серцево-судинну систему. Крім того, карієс псує естетику усмішки та знижує впевненість у собі.
Профілактика та вчасне пломбування — простий спосіб зберегти здорові зуби та гарну усмішку. Запишіться на огляд за тел. 0979851075 вже сьогодні — не відкладайте турботу про себе.
Пан Сова
19 квітня 2025
5.0
Обслуговування
5.0
Ціна
5.0
Якість
5.0
Загальна оцінка
5.0
Усміхайтесь так, ніби ніколи не втрачали жодного зуба.
Впевнено. Красиво. Без болю. Назавжди.
Ми повертаємо не просто зуби — ми повертаємо впевненість у собі.
Преміальні імпланти. Ідеальна естетика. Дбайливий підхід.
Бо ваша усміш... Показати повністю Усміхайтесь так, ніби ніколи не втрачали жодного зуба.
Впевнено. Красиво. Без болю. Назавжди.
Ми повертаємо не просто зуби — ми повертаємо впевненість у собі.
Преміальні імпланти. Ідеальна естетика. Дбайливий підхід.
Бо ваша усмішка варта найкращого.
Запис на приватну консультацію за телефоном:
097-985-10-75, 063-645-89-10.
Дякуємо, що Ви нам довіряєте.
Впевнено. Красиво. Без болю. Назавжди.
Ми повертаємо не просто зуби — ми повертаємо впевненість у собі.
Преміальні імпланти. Ідеальна естетика. Дбайливий підхід.
Бо ваша усміш... Показати повністю Усміхайтесь так, ніби ніколи не втрачали жодного зуба.
Впевнено. Красиво. Без болю. Назавжди.
Ми повертаємо не просто зуби — ми повертаємо впевненість у собі.
Преміальні імпланти. Ідеальна естетика. Дбайливий підхід.
Бо ваша усмішка варта найкращого.
Запис на приватну консультацію за телефоном:
097-985-10-75, 063-645-89-10.
Дякуємо, що Ви нам довіряєте.
5.0
Обслуговування
5.0
Ціна
5.0
Якість
5.0
Загальна оцінка
5.0
Академіка Образцова, 1 / 3
19 квітня 2025
Усміхайтесь так, ніби ніколи не втрачали жодного зуба.
Впевнено. Красиво. Без болю. Назавжди.
Ми повертаємо не просто зуби — ми повертаємо впевненість у собі.
Преміальні імпланти. Ідеальна естетика. Дбайливий підхід.
Бо ваша усміш... Показати повністю Усміхайтесь так, ніби ніколи не втрачали жодного зуба.
Впевнено. Красиво. Без болю. Назавжди.
Ми повертаємо не просто зуби — ми повертаємо впевненість у собі.
Преміальні імпланти. Ідеальна естетика. Дбайливий підхід.
Бо ваша усмішка варта найкращого.
Запис на приватну консультацію за телефоном:
097-985-10-75, 063-645-89-10.
Дякуємо, що Ви нам довіряєте.
Впевнено. Красиво. Без болю. Назавжди.
Ми повертаємо не просто зуби — ми повертаємо впевненість у собі.
Преміальні імпланти. Ідеальна естетика. Дбайливий підхід.
Бо ваша усміш... Показати повністю Усміхайтесь так, ніби ніколи не втрачали жодного зуба.
Впевнено. Красиво. Без болю. Назавжди.
Ми повертаємо не просто зуби — ми повертаємо впевненість у собі.
Преміальні імпланти. Ідеальна естетика. Дбайливий підхід.
Бо ваша усмішка варта найкращого.
Запис на приватну консультацію за телефоном:
097-985-10-75, 063-645-89-10.
Дякуємо, що Ви нам довіряєте.
Пан Сова
29 березня 2025
5.0
Обслуговування
5.0
Ціна
5.0
Якість
5.0
Загальна оцінка
5.0
Цирконієві коронки — це ідеальне поєднання краси та функціональності. Вони настільки природні, що важко помітити різницю між коронкою та власним зубом. Виглядають як натуральні зуби і при цьому вирізняються високою міцністю, що робить їх найкращим рі...
Показати повністю
Цирконієві коронки — це ідеальне поєднання краси та функціональності. Вони настільки природні, що важко помітити різницю між коронкою та власним зубом. Виглядають як натуральні зуби і при цьому вирізняються високою міцністю, що робить їх найкращим рішенням для відновлення посмішки.
5.0
Обслуговування
5.0
Ціна
5.0
Якість
5.0
Загальна оцінка
5.0
Академіка Образцова, 1 / 3
29 березня 2025
Цирконієві коронки — це ідеальне поєднання краси та функціональності. Вони настільки природні, що важко помітити різницю між коронкою та власним зубом. Виглядають як натуральні зуби і при цьому вирізняються високою міцністю, що робить їх найкращим рі...
Показати повністю
Цирконієві коронки — це ідеальне поєднання краси та функціональності. Вони настільки природні, що важко помітити різницю між коронкою та власним зубом. Виглядають як натуральні зуби і при цьому вирізняються високою міцністю, що робить їх найкращим рішенням для відновлення посмішки.
Пан Сова
29 березня 2025
5.0
Обслуговування
5.0
Ціна
5.0
Якість
5.0
Загальна оцінка
5.0
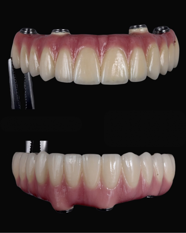
Постійний протез на імплантах, верхня щелепа.
Протез складається з титанової балки, яка гарантує міцність конструкції та цирконієвих коронок, які функціонально та естетично виконують функцію зубів.
Імплантати — це ідеальний спосіб повернути... Показати повністю Постійний протез на імплантах, верхня щелепа.
Протез складається з титанової балки, яка гарантує міцність конструкції та цирконієвих коронок, які функціонально та естетично виконують функцію зубів.
Імплантати — це ідеальний спосіб повернути не лише посмішку, а й якість життя. Конструкція на імплантах відновлює втрачені зуби, роблячи посмішку знову гарною та природною.
З імплантами ваша усмішка виглядатиме і відчуватиметься абсолютно природно! Подаруйте собі комфорт та впевненість щодня!
Протез складається з титанової балки, яка гарантує міцність конструкції та цирконієвих коронок, які функціонально та естетично виконують функцію зубів.
Імплантати — це ідеальний спосіб повернути... Показати повністю Постійний протез на імплантах, верхня щелепа.
Протез складається з титанової балки, яка гарантує міцність конструкції та цирконієвих коронок, які функціонально та естетично виконують функцію зубів.
Імплантати — це ідеальний спосіб повернути не лише посмішку, а й якість життя. Конструкція на імплантах відновлює втрачені зуби, роблячи посмішку знову гарною та природною.
З імплантами ваша усмішка виглядатиме і відчуватиметься абсолютно природно! Подаруйте собі комфорт та впевненість щодня!
5.0
Обслуговування
5.0
Ціна
5.0
Якість
5.0
Загальна оцінка
5.0
Академіка Образцова, 1 / 3
29 березня 2025
Постійний протез на імплантах, верхня щелепа.
Протез складається з титанової балки, яка гарантує міцність конструкції та цирконієвих коронок, які функціонально та естетично виконують функцію зубів.
Імплантати — це ідеальний спосіб повернути... Показати повністю Постійний протез на імплантах, верхня щелепа.
Протез складається з титанової балки, яка гарантує міцність конструкції та цирконієвих коронок, які функціонально та естетично виконують функцію зубів.
Імплантати — це ідеальний спосіб повернути не лише посмішку, а й якість життя. Конструкція на імплантах відновлює втрачені зуби, роблячи посмішку знову гарною та природною.
З імплантами ваша усмішка виглядатиме і відчуватиметься абсолютно природно! Подаруйте собі комфорт та впевненість щодня!
Протез складається з титанової балки, яка гарантує міцність конструкції та цирконієвих коронок, які функціонально та естетично виконують функцію зубів.
Імплантати — це ідеальний спосіб повернути... Показати повністю Постійний протез на імплантах, верхня щелепа.
Протез складається з титанової балки, яка гарантує міцність конструкції та цирконієвих коронок, які функціонально та естетично виконують функцію зубів.
Імплантати — це ідеальний спосіб повернути не лише посмішку, а й якість життя. Конструкція на імплантах відновлює втрачені зуби, роблячи посмішку знову гарною та природною.
З імплантами ваша усмішка виглядатиме і відчуватиметься абсолютно природно! Подаруйте собі комфорт та впевненість щодня!
replay
Читати ще 48 відгуків
replay
Читати ще 48 відгуків
Шукають ще:
Контакти Стоматологічний кабінет Сови Наталії
Адреса:
Академіка Образцова, 1 / 3
Телефон:
Отримуйте більше дзвінків
від клієнтів
Як це працює?
від клієнтів
Якщо ви представник компанії - оберіть “Керувати сторінкою” для редагування інформації.
Якщо ви клієнт компанії - оберіть “Запропонувати зміни”
або
Якщо ви представник компанії - оберіть “Керувати сторінкою” для редагування інформації.
Будь ласка, підтвердіть за допомогою е-мейлу або телефону, який вказано для компанії на Топ20, що ви є представником компанії
Стоматологічний кабінет Сови Наталії
check_circle
Посилання для входу надіслано на вказаний email
Вхід до ТОП20
Для підтвердження входу прийміть дзвінок і введіть код перевірки
При вході або реєстрації,я підтверджую згоду
з умовами публічного договору
з умовами публічного договору
Вхід до ТОП20
Увійти за номером телефона
або
При вході або реєстрації,я підтверджую згоду
з умовами публічного договору
з умовами публічного договору
Вхід до ТОП20
Код висланий на +38 (067) 112 33 44
Отримати новий код через 1:36
При вході або реєстрації,я підтверджую згоду
з умовами публічного договору
з умовами публічного договору
done
(097) 985 10 75
Дякуємо, ми перевіримо
Карта
Відгуки про Стоматологічний кабінет Сови Наталії (58)