4.7
9 відгуків
  • done імплантація зубів
  • done безболісне лікування зубів
  • done бюгельний протез
  • done відбілювання зубів
Реставрація, лікування та протезування зубів.
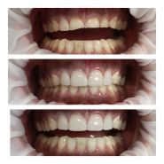
Дякую за неймовірну усмішку.Ви найкращі
5.0
1 відгук
  • done пломбування зубів
  • done прикраси на зуби
  • done реабілітація
  • done реставрація зубів
Лікування, профілактика, відновлення зубів, пломбування каналів, відбілювання.
Лікування, профілактика, відновлення зубів, пломбування каналів, відбілювання.